A major concern when using therapies for multiple sclerosis (MS) that have a significant effect on immune pathways is their possible rebound effects after discontinuation. Since 2012, over twenty cases of severe disease reactivation following fingolimod discontinuation have been described.
These patients often experienced a profound worsening of the neurological state, typically accompanied by the appearance of numerous gadolinium-enhancing (Gd+) lesions on brain magnetic resonance images. Although these exacerbations were nearly exclusively observed in patients with RRMS, one case of severe disease reactivation occurred in a patient that had discontinued fingolimod due to enter into the secondary progressive phase of MS (SPMS) Ghezzi et al. J Neurol 2013
Moreover, a recent report, Davion et al. J Neurol 2016 described two patients with primary progressive MS who experienced significant exacerbations after discontinuing fingolimod, upon completion of the INFORMS study. Those two patients exhibited single Gd+ lesions in strategic locations: the brainstem and the spinal cord.
The time frame of risk for these events, predisposing factors, and associations with pharmacokinetics and immune system markers are not established.
In a series of Hatcher et al . identified 5 in 46 MS patients who experienced rebound 4 to 16 weeks after ceasing fingolimod treatment in the University of California, San Francisco, Multiple Sclerosis Center from January 2014 to December 2015: Rebound syndrome was defined as new severe neurological symptoms after ceasing fingolimod treatment.
They highlight that rebound events may occur with short washout periods (4 weeks) and perpetuate despite steroid treatment or acute treatment with a fast-acting immune therapy, such as rituximab. Most of their cases did not immediately respond to steroids, and new lesions continued to form despite B-cell depletion in some cases.
The are other articles
- Severe disease reactivation in four patients with relapsing-remitting multiple sclerosis after fingolimod cessation
J Neuroimmunol. 2015 May 15;282:118-22. doi: 10.1016/j.jneuroim.2015.03.022. Epub 2015 Apr 7.
- Severe rebound after withdrawal of fingolimod treatment in patients with multiple sclerosis
- Severe tumefactive rebound of multiple sclerosis following fingolimod cessation
BMJ Case Rep. 2016 Jun 3;2016. pii: bcr2016215596. doi: 10.1136/bcr-2016-215596.
- Tumefactive multiple sclerosis lesions in two patients after cessation of fingolimod treatment
- Severe disease exacerbations in patients with multiple sclerosis after discontinuing fingolimod
 |
Członkowska A, et al. Severe disease exacerbations in patients with multiple sclerosis after discontinuing fingolimod. Neurol Neurochir Pol (2017)
|
Fingolimod may take approximately two months to be completely eliminated from your body. Pregnancy is an especially delicate situation for women with MS because the discontinuation of therapy may increase the risk of relapses, which may be potentially compensated for by the reduction of disease activity during pregnancy
Next article, Novi et at report 2 cases of severe clinical rebound after fingolimod suspension occurring in 2 patients following pregnancy. Clinical rebound was defined as the occurrence of new severe neurologic symptoms together with a significant increase of new or enlarging T2-weighted or gadolinium-enhancing T1-weighted lesions exceeding baseline activity, on treatment discontinuation.
- Giovanni Novi, MD,
- Angelo Ghezzi, MD,
- Matteo Pizzorno, MD,
- Caterina Lapucci, MD,
- Fabio Bandini, MD,
- Pietro Annovazzi, MD,
- Giovanni L. Mancardi, MD, PhD and
- Antonio Uccelli, MD, PhD
Neurol Neuroimmunol Neuroinflamm September 2017 vol. 4 no. 5 e377

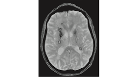
(A) Brain MRI performed on October 12, 2012. (A.a) FLAIR (FLuid Attenuated Inversion Recovery) sequence. (A.b) T1 gadolinium enhanced sequence. Routine MRI scan during fingolimod therapy shows some periventricular juxtacortical FLAIR white-matter hyperintensities with no gadolinium enhanced lesions. (B) Brain MRI performed on August 29, 2013. In the FLAIR sequence, diffuse and confluent white-matter hyperintensities are found in both hemispheres in the periventricular and subcortical white matter, with the involvement of the “U” fibers. Many lesions show gadolinium enhancement. (C) Brain MRI performed on October 17, 2013. One month after cyclophosphamide IV administration. FLAIR white-matter hyperintensities are significantly reduced (C.a) and no lesion display gadolinium enhancement (C.b) compared with the MRI performed on 29th of August (B). (D) Brain MRI performed on January 3, 2014. A remarkable increase in the number and size of white-matter hyperintensities can be observed (FLAIR sequence, D.a) compared with the scan of 17th of October. New diffuse and rim gadolinium enhancing lesions are present (D.b).
They suggest that similar to current protocols adopted for NTZ discontinuation, fingolimod suspension in patients with high-disease activity during previous treatments should be carefully monitored to detect early signs of disease reactivation potentially requiring immediate highly effective treatments. Moreover, early lymphocytes levels increase after fingolimod cessation could represent a warning sign possibly associated with their migration to the CNS.
The possible outcome following therapy discontinuation should be carefully considered at the time of treatment choice in young women in child-bearing age, who need to be properly advised of possible risks of rapid disease worsening after treatment suspension.
ESPAÑOL
Una preocupación importante cuando se usan terapias para la esclerosis múltiple (EM) que tienen un efecto significativo como inmunosupresores son sus posibles efectos de rebote después de la discontinuación. Desde 2012, se han descrito más de veinte casos de reactivación grave de la enfermedad después de la interrupción del fingolimod.
Estos pacientes experimentaron a menudo un empeoramiento profundo del estado neurológico, típicamente acompañado por la aparición de numerosas lesiones que realzan con gadolinio (Gd +) en las imágenes de resonancia magnética cerebral. Aunque estas exacerbaciones se observaron casi exclusivamente en pacientes con EMRR, se produjo un caso de reactivación grave de la enfermedad en un paciente que había suspendido el fingolimod debido a entrar en la fase secundaria progresiva de MS (SPMS) Ghezzi et al. J Neurol 2013
Además, un informe reciente, Davion et al. J Neurol 2016 escribió dos pacientes con EM primaria progresiva que experimentaron exacerbaciones significativas después de suspender el fingolimod, al completar el estudio INFORMS. Estos dos pacientes presentaron lesiones individuales de Gd + en lugares estratégicos: el tronco encefálico y la médula espinal.
No se establecen los plazos de riesgo para estos eventos, los factores predisponentes y las asociaciones con la farmacocinética y los marcadores del sistema inmunológico.
En una serie de Hatcher et al . Identificaron a 5 de 46 pacientes con EM que experimentaron rebote 4 a 16 semanas después de cesar el tratamiento con fingolimod en el Centro de Esclerosis Múltiple de la Universidad de California, San Francisco, de Enero de 2014 a Diciembre de 2015: el síndrome de rebote fue definido como nuevos síntomas neurológicos severos después de cesar el tratamiento con fingolimod.
Destacan que los eventos de rebote pueden ocurrir con períodos cortos de lavado (4 semanas) y perpetuarse a pesar del tratamiento con esteroides o tratamiento agudo con una terapia inmune de acción rápida, como el rituximab. La mayoría de sus casos no respondió inmediatamente a los esteroides, y las nuevas lesiones siguieron formándose a pesar del agotamiento de las células B en algunos casos.
Otros articulos con descripcion :
• Reactivación severa de la enfermedad en cuatro pacientes con esclerosis múltiple remitente-remitente después del abandono del fingolimod
J Neuroimmunol. 2015 May 15;282:118-22. doi: 10.1016/j.jneuroim.2015.03.022. Epub 2015 Apr 7.
• Rebote severo después de retirar el tratamiento con fingolimod en pacientes con esclerosis múltiple
• Reacción tumefactiva severa de la esclerosis múltiple después de la cesación de fingolimod
BMJ Case Rep. 2016 Jun 3;2016. pii: bcr2016215596. doi: 10.1136/bcr-2016-215596.
• Lesiones de esclerosis múltiple tumefactiva en dos pacientes después del cese del tratamiento con fingolimod
• Exacerbaciones graves de la enfermedad en pacientes con esclerosis múltiple después de suspender el fingolimod
Fingolimod puede tomar aproximadamente dos meses para ser completamente eliminado de su cuerpo. El embarazo es una situación especialmente delicada para las mujeres con EM porque la interrupción de la terapia puede aumentar el riesgo de recaídas, que pueden ser compensadas potencialmente por la reducción de la actividad de la enfermedad durante el embarazo
En el articulo siguiente, Novi et al informa 2 casos de rebote clínico grave después de la suspensión de fingolimod que se producen en 2 pacientes en embarazo. El rebote clínico se definió como la aparición de nuevos síntomas neurológicos severos junto con un aumento significativo de las lesiones ponderadas en T2 o mejoradas con T2 o que aumentan la intensidad de T1 que exceden la actividad basal, en la interrupción del tratamiento
- Giovanni Novi, MD,
- Angelo Ghezzi, MD,
- Matteo Pizzorno, MD,
- Caterina Lapucci, MD,
- Fabio Bandini, MD,
- Pietro Annovazzi, MD,
- Giovanni L. Mancardi, MD, PhD and
- Antonio Uccelli, MD, PhD
Neurol Neuroimmunol Neuroinflamm September 2017 vol. 4 no. 5 e377

A) RM cerebral realizada el 12 de octubre de 2012. (A.a) FLAIR (FLUID Attenuated Inversion Recovery) secuencia. (A.b) secuencia con gadolinio T1. La exploración de rutina por resonancia magnética durante la terapia con fingolimod muestra algunas hiperintensidades de la materia blanca FLAIR periventriculares y de tipo liso, sin lesiones de realce de gadolinio. (B) RM cerebral realizada el 29 de agosto de 2013. En la secuencia FLAIR se encuentran hiperintensidades difusas y confluentes de materia blanca en ambos hemisferios en la sustancia blanca periventricular y subcortical, con la implicación de las fibras "U". Muchas lesiones muestran realce de gadolinio. (C) RM cerebral realizada el 17 de octubre de 2013. Un mes después de la administración de ciclofosfamida IV. Las hiperintensidades de color blanco de FLAIR se reducen significativamente (C.a) y ninguna lesión muestra realce de gadolinio (C.b) en comparación con la RM realizada el 29 de agosto (B). (D) RM cerebral realizada el 3 de enero de 2014. Se puede observar un notable aumento en el número y tamaño de hiperintensidades de la materia blanca (secuencia FLAIR, D.a) en comparación con la exploración del 17 de octubre. Están presentes nuevas lesiones de aumento de gadolinio difuso y de borde (D.b).
Sugieren que similar a los actuales protocolos adoptados para la suspensión de NTZ, la suspensión de fingolimod en pacientes con alta actividad de la enfermedad durante los tratamientos anteriores deben ser cuidadosamente monitoreados para detectar signos tempranos de reactivación de la enfermedad que potencialmente requieren tratamientos altamente efectivos inmediatos. Además, los niveles de linfocitos tempranos aumentan después de la cesación de fingolimod podría representar un signo de advertencia posiblemente asociado con su migración al SNC.
El posible resultado después de la interrupción del tratamiento debe considerarse cuidadosamente en el momento de la elección del tratamiento en mujeres jóvenes en edad de procrear, que necesitan ser debidamente informados de los posibles riesgos de agravamiento rápido de la enfermedad después de la suspensión del tratamiento.